Woman standing outdoors smiling at camera with trees behind her.

Smile Gallery

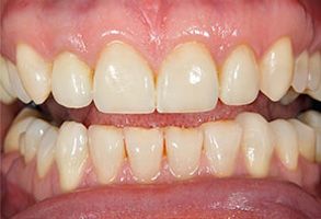
The image shows a person with a wide smile displaying yellowed teeth and gums, which suggests poor oral hygiene.

Before

The image shows a close-up of a person smiling with white teeth and a pink tongue, wearing lipstick, against a neutral background.

After

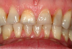
The image displays two photographs of a person s teeth with significant dental decay and discoloration, showcasing both close-up and full-mouth views of the affected teeth.

Before

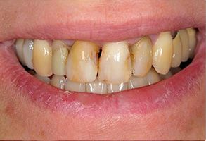
The image shows a close-up view of a person s teeth with yellowing and staining, indicating dental decay or poor oral hygiene.

After

The image shows a close-up view of a person s smiling mouth with teeth and lips clearly visible, displaying a wide grin.

Before

The image displays a close-up of a person s smiling mouth with teeth, showcasing dental hygiene.

After

The image displays a close-up view of a person s mouth with a noticeable set of crooked front teeth, showcasing a dental issue such as malocclusion or misaligned teeth.

Before

The image shows a close-up view of a person s teeth with visible stains and wear, which are being cleaned by a dental professional.

After

The image shows two photos of an open mouth with teeth, showcasing a dental procedure or treatment in progress.

Before

The image displays a close-up view of a person s teeth with an emphasis on the top front teeth, showcasing their white color and cleanliness.

After

The image shows a close-up view of a person s teeth with visible staining and discoloration, particularly on the front teeth, which appear yellowed and possibly damaged.

Before

The image shows a close-up of a person s teeth with a focus on a large gap between two front teeth, highlighting a dental issue such as missing or misaligned teeth.

After

The image shows a person s teeth with multiple missing teeth and yellowed enamel, likely due to poor oral hygiene or dental issues, displayed prominently in the foreground against a blurred background.

Before

The image shows a close-up view of a person s teeth with some discoloration and staining, indicating a need for dental care or whitening.

After

Schedule a visit today!
Contact Us
SMS Consent
Submit

Thank You!

We appreciate you taking the time to visit our site. We'll review your message and be in touch with you soon.

Continue
The image depicts a two-story brick building with a flat roof, featuring a prominent entrance with a large glass window and a white door, set against a clear sky.